Interventions chirurgicales

La chirurgie peut faire partie du traitement de la douleur chronique lorsque certaines causes sous-jacentes peuvent être corrigées ou soulagées.

Elle s’intègre toujours dans un plan personnalisé et interdisciplinaire conçu par le vétérinaire.
Toute intervention nécessite une prise en charge de la douleur avant, pendant et après la chirurgie

Pourquoi envisager une chirurgie ?

Objectifs de la chirurgie

Exemples d’interventions

  • Arthroscopie pour nettoyer une articulation

  • Ostéotomie correctrice pour réaligner un membre

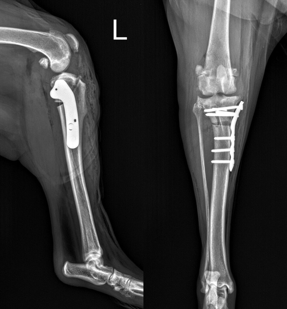
  • Stabilisation ligamentaire du genou

  • Chirurgie décompressive en neurologie

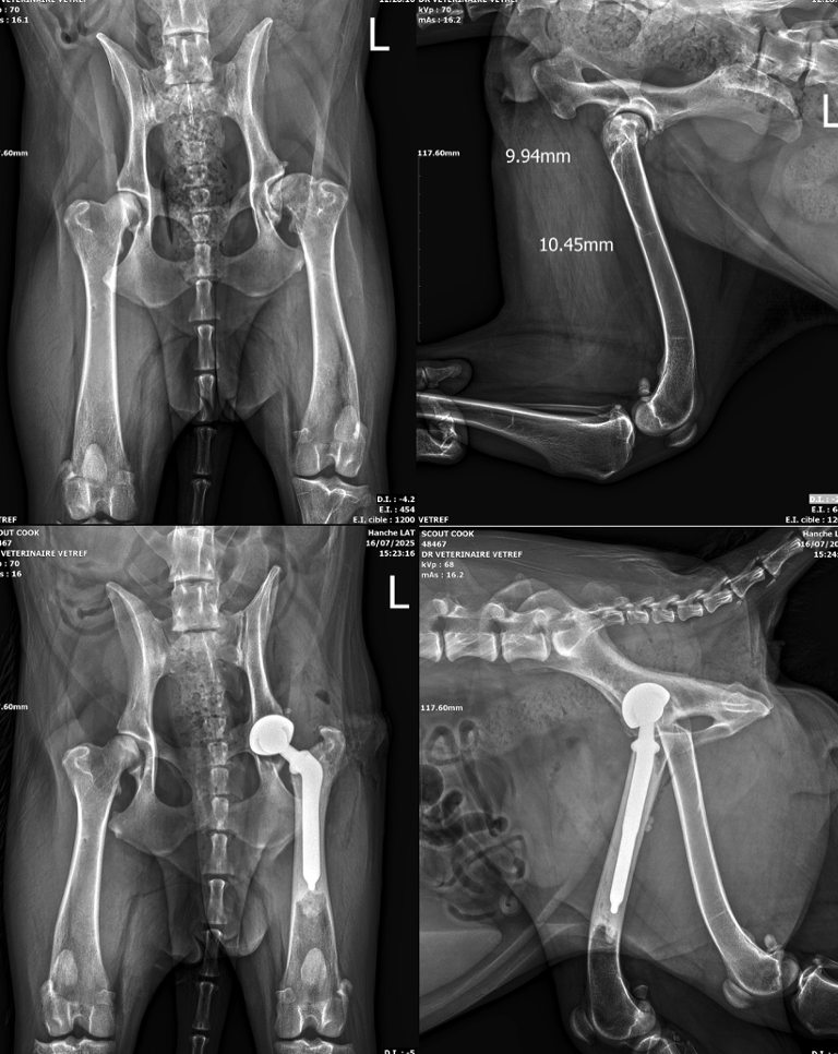
  • Prothèse de hanche

Chaque cas est unique : la décision chirurgicale nécessite une évaluation vétérinaire approfondie et un temps fort d’échanges entre le chirurgien et le propriétaire.

Exemple d’athroscopie

Stabilisation ligamentaire

Prothèse de hanche

Préparation et décision

Suivi post-opératoire

Le suivi est essentiel pour garantir le succès de l’opération et le confort de l’animal.

Le rôle du vétérinaire

En savoir plus

La chirurgie est un outil précieux mais pas systématique.
Parlez-en avec votre vétérinaire CAPdouleur pour comprendre toutes les options et choisir la meilleure solution pour votre animal.

Retour en haut